Огромная опухоль сдавливала легкое: в Киеве медики провели сложную операцию новорожденному (фото)

Читати українською
Автор
Врачи провели сложную операцию
Врачи провели сложную операцию. Фото НДСЛ Охматдет

Мальчику диагностировали кисту еще до появления на свет

Специалисты "Охматдета" спасли ребенка, который родился с большой опухолью в правой половине грудной клетки — она сильно сжимала правое легкое и не позволяла младенцу нормально дышать. Новорожденного мальчика прооперировали и спасли ему жизнь.

На данный момент, ребенок чувствует себя хорошо и уже находится вместе с мамой дома. О подробностях сложной операции рассказали в пресс-службе "Охматдета".

Так, специалисты поставили мальчику диагноз врожденного порока развития еще до рождения — во время проведения УЗИ в правой половине грудной клетки у него обнаружили кисту.

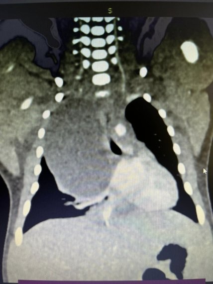
Сразу после рождения ребенок был доставлен в "Охматдет". В возрасте 5 дней медики провели обследование мальчика и наличие опухоли в правой части грудной клетки подтвердилось. Специалисты идентифицировали массивное кистовидное образование размером 36х47х62мм, которое сильно сжимало правое легкое младенца.

Опухоль сжимала правое легкое

После тщательной подготовки ребенку провели операция — на момент хирургического вмешательства мальчику было 12 дней.

К счастью, опытным специалистам удалось по частям удались кисту. Была выполнена пункция, во время которой получили 30 мл муцинозного содержимого. Образование уменьшилось в размере, стало более эластичным, после чего его удалось поэтапно выделить из окружающих тканей и удалить.

Ребенку провели сложную операцию

Уже через 9 дней после вмешательства было отмечено значительное улучшение пневматизации обоих легких, а мальчик был активным. Еще через несколько дней счастливая мама с ребенком были выписаны из отделения хирургии новорожденных домой.

Мама с младенцем уже находится дома

Ранее "Телеграф" сообщал о том, что в Киевской области специалисты спасли ребенка, который проглотил пулю. Мальчика привезли в больницу взволнованные родители, которые попросили помощи у медиков.